Retinal Detachment
![]() |
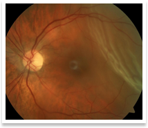
Retinal detachment is a condition in which the retina is separated from its normal position, leading to a schism between the neurosensory layer and the layer of retinal pigment epithelium. It is immediately blinding should it involve the central portion of the retina(the macula and fovea). |
||||||
|
|||||||
SATELLITE CENTERS
Do you want an eye check-up and at the same time avoid the hustle and bustle of the old city?
Read More
ACADEMICS AND RESEARCH
Click here to go through our list of scientific publications and presentations
Read More








